HOMEへ


●天然歯の色調理論 07

 

シェードテイキングの実際 02:画像撮影の方法


 


17.画像撮影の実際

Eye Special U.JPG 22g-Fine-Pix-6900.gif

 図07 カメラ「Eye Special U」やその調整によっても画像に相違が出ます。

 図08a 左上がニコンの「CoolPix990」で写した画像: 何故か表面的な色ですね、、、

 

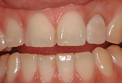
図07が「Eye Special U」本体、そして図08aの大画像が「Eye Special U」で撮影した画像です。

入射光が歯内を十分に回り、返ってきた光を拾っていますから、色調は3次元的に再現されています。

こういった画像であることが非常に大切です。      

 

 

01b-EyeSpecial CIII.jpg

図08b 昨今は上記、「Eye Special U」の機能をそのまま保ちながらもコンパクトで軽量…

加えて、顔貌画像も撮ることができ(「Eye Special U」では不可能であった。)、

外科手術にも適用できる「Eye Special CV(上図)」が登場した(撮影:2017年 IDSケルンにて)。

 

 

画像撮影では、可能な限り自然な視線に近い角度から撮影を行いますが、審美性を考慮した場合、

より上部から若干、左右にズラした角度で撮影を行なった方が陰影が出て美しく見てとれます。

 

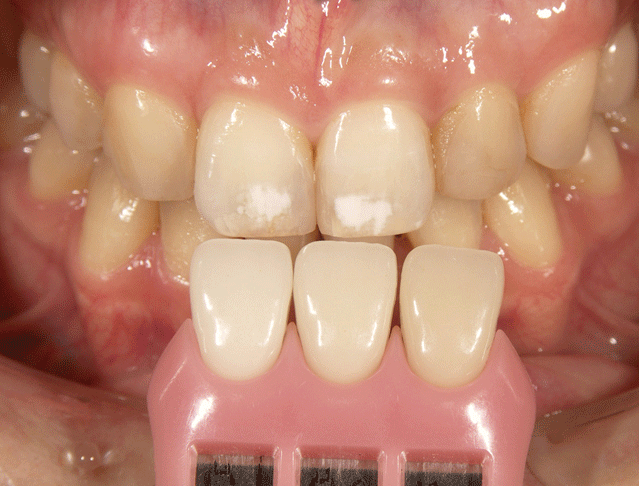
画像から明度確認する際の注意事項として、シェードタブと天然歯を同一平面に配置することが

挙げられます。同じA2のシェードタブを約2cm前後に配置し、Eye Special U(図08b)で撮影後、

シェード画像をCMYKでスポット情報確認すると、大きな明度差が明確化できる(図09a)。

 

また、シェードタブの角度(図09b)も重要です。シェードタブは同じメーカーの同じシェードガイドでも

色調差があります

 

言うなれば、同じシェードタブは全く無く、撮影に用いたシェードタブ、その物自体を用いて、後にも色調分析

を行います。ちなみに、我々はVita classical のシェードガイドだけでも20個ほどは持っていますので、

複数の顧客にも対応できます。

 

 

では、実際にカメラを構えて撮影してみましょう。

 

シェードタブは図09a&bで明確にお分かりのごとく、同色のシェードタブでありながら、

様々な角度によっても色が変わって見えます。

 

したがって図10のように、カメラレンズを視線に合わせた上方から対象物に90度に近い角度で

撮影することが重要なのです。

 

この時、比色対象物である歯とシェードタブは必ず同じ距離であることが非常に大切なのです。 

 

図09a 数値データでY(イエロー)は1%、K(ブラック)が2%の極めて僅かな差であるものの、

この2つのシェードタブを貼り合わせると大きな明度低下が生じていることが確認できます。

医歯薬出版株式会社、月刊『歯科技工』別冊:「審美歯科技工の探求/小田中康裕 編」
Part3,8 インプラント支台と天然支台の同時色調再現/枝川智之 著 図5より改変

 

22i-同一シェードタブの角度による色調の相違.gif   

図09b 同色のシェードタブ: A1でありながら、角度差によって色が変わって見てとれます。

 

22j-レンズ及びフラッシュに対する距離を均等化する.gif

図10 レンズおよびフラッシュに対する距離を均等化することが重要

 

22k-シェードガイドにガミーを付与し、Edge-to-edgeとなるように撮影する.gif

図11 シェードガイドにガミーを付与し、Edge-to-edge となるように撮影する

 

 

18.色調分析に必要な画像

 

   

顔貌正中.gif 03上顎咬合面観.gif

図12 瞳孔線、顔面正中や咬合平面の入った顔貌写真

図13 咬合面ステインの分かる咬合面観の画像:

 

先ず、図11のようにシェードタブを入れた口腔内画像に続いて、、、

 

特に、図12の忘れがちな歯を入れた顔貌画像を2番目に挙げます。

この「瞳孔線」が無ければ、顔面正中や咬合平面に調和した歯を作ることは不可能です。

 

次に、咬合面観の画像が来ますが、これは舌側や咬合面の「ステインの有無」が明確化されます(図13)。

そもそもステインを施さないことが基本ですが、残存歯との調和を図るためには若干の外部ステインが必要

になる場合もあります。その際には、相対的に上顎と下顎であまり見え難い上顎の方にステインする

と同時に、女性と男性では男性にステインを施すものの、女性にはほとんどステインしないと考えて戴きたい。

 

したがって、患者様の性別や年齢は必須である!と言っても過言ではないでしょう。

 

加えて、内部構造が明確化されるブラックプレートの入った画像(図14)と安静位の画像(図15)が有れば、

より正確に色調分析が可能です。

 

13Background黒_拡大.gif 14安静位.gif

図14 ブラックプレートの入った画像 (内部構造の明確化)

図15 安静位の画像、図15と僅かに相違が存在する故、色調の比較ができます。

 

シェードテイキングの実際 01へ  このカテゴリのトップへ  HOMEへ

 

スポンサーサイト