|  |  |  |  |  |  | 
| チャネルショルダーアタッチメントって? | 
|  | 
|  | 
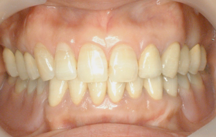
| ●本ケースは、上下顎全歯で患者さんの天然歯が4歯だけ残った症例でした。 結局、上顎にはメタルセラミックスブリッジ補綴を施し、下顎はチャネルショルダーアタッチメントと エクストラコロナル・自家製棒状アタッチメントによるミリング・コンビネーションデンチャーを装備 しています。 ●チャネルショルダーアタッチメントおよび棒状アタッチメントのテクニックに関しては「論文」編 のPDFファイルをご参照くださいませ。 また、製作工程の詳細は「臨床例:補綴用実践的ワックスアップ手順を追う! (コンビ01)」 に良く似た症例を掲載しましたので、ご供覧ください。 
 | 
|  | 
|   | 
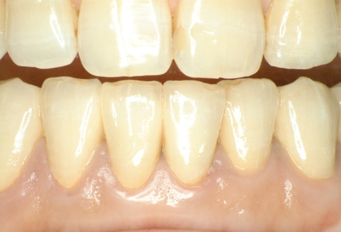
| ●下顎右大小臼歯から左犬歯まではメタルセラミックスの連続冠で補綴し、 右大小臼歯、右犬歯および左犬歯、左側切歯の4歯の舌側面にチャネルショルダー内冠 と棒状アタッチメントをミリング加工した。 チャネルショルダー外冠および棒状アタッチメントはパラレルミリング加工しているので、 精密な摩擦抵抗力を持った適合精度が求められます。 内冠の長径および幅径によっても、鋳造システムによる埋没工程の混液比や混水比が 変わってきますので、「コンビネーション用のチェックリスト」を制作し、データを分析しよう。 
 | 
|  | 
| 
 *上の表はグロースの「コンビネーション用のチェックリスト」を示します。 |