HOMEへ


★ジルコニア用陶材「ヴィンテージZR」とは?


★「ヴィンテージZR」★

 ■2006年6月21日、ジルコニア専用『ヴィンテージZR』掏材が(株)松風より発売になりました。

 ■斯界では「ジルコニア元年」と言われた2006年、当時はシステマティックな掏材を待ち望んでいたところでした。



★ジルコニア専用『ヴィンテージZR』掏材には、
豊富な掏材の種類が用意されており(103色)、

天然歯と同様な層構造を構築することによって、より天然歯に近似した審美性を発揮できるに違いない。

 


Zr_ABセットBasic_Bild up
r Color

 

 

蛍光性.gif

★天然歯に近似した蛍光性を有する(上図、左右側は天然歯)

 

 

 

「ヴィンテージ ZR」はヴィンテージシリーズの高い審美性に、

ジルコニアフレームの強度をプラスしたオールセラミックスクラウンのための前装用陶材です。


ジルコニアフレームが高強度であるためブリッジが可能となり、

今後メタルボンドと同様に広く臨床応用できる材料と言えるでしょう。

 

●これらの特性により、「従来のメタルセラミックス」にも見劣りしない、

またそれ以上の審美性を発揮します。


 


プライム 誰か

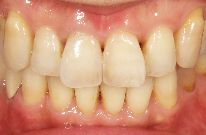
右中切歯がVintage Zr ジルコニアクラウン

東京都池袋開業:プライムデンタルクリニック
野木洋正先生(臨床提供)


 

◎「優れた物理的・化学的特性および歯肉との親和性の向上」◎

 

1.耐クラック性、耐衝撃性、そして耐溶解性の向上

繰り返し焼成においても熱膨張係数の変化がほとんどなく

ジルコニアフレームとの焼付強度が高いために耐クラック性に優れています。


微細な結晶化ガラスを配合することによって、形態修整時のチッピングが少なく、耐衝撃性にも優れる。

ただし、

ジルコニアフレームはサポート形態を設計するか、もしくはマルチレイヤージルコニアの材料選択

を推奨したい。

 

2.歯肉との親和性が向上

とりわけサービカルトランスは、エナメル陶材よりも溶融点を低めに設計している。

そのため、

グレーズ焼成後の面がより滑沢になり、歯頸部付近の清掃性が良くなると同時に、

歯肉との親和性も向上している。

 


PICT0225.jpg

上顎右の中切歯がジルコニアクラウン::白帯状構造は患者さんの要求から弱めに表現しています

東京都水天宮開業:グリーンパーク歯科医院
池田秀彦先生(臨床写真提供)

製作担当:(有)デンタル・ラボア・グロース主任 瀬 直

            

 

● ペースト状のオペークライナーの塗布
---------------------------------------------------------------

塗布層の厚みをコントロールし易いペースト性状のため、

フレームの透明度と色調を自由に調整でき、

より深みのある色調再現が可能です。




★ジルコニアフレームとジルコニア前装用陶材における注意点、、、



           

Halo_Zr_Al

●メタルセラミックス前装用陶材「ヴィンテージ Halo」はその組成としてリューサイトを含むため高強度である。

逆に結晶化ガラスを主成分とするアルミナコーピング前装用陶材の「ヴィンテージ AL」は、

アルミナコーピングと相まって、剛性に優れてはいるものの、メタルコーピングと比較すると破壊靭性に劣っている。

 

●ジルコニア前装用陶材「ヴィンテージ ZR」は上述の前後者の中間にあり、耐衝撃性が高いことに優位性がある。

したがって、

優れた曲げ強度と破壊靭性を持ち合わせる「ジルコニアフレーム」と複合すれば無敵であると考えがちである。



●ただしどんなメーカーであっても、一般的に下部構造体であるジルコニアフレームの破壊靭性が高いということは、

ヤング率が高く、すなわち「たわみ量」大きくなる。

たわむ」ということは、脆弱性の前装用陶材を破壊してしまうという意味があることを忘れてはならないのです。



アルミナコーピングと比較した場合、ジルコニアフレームは剛性が劣るため、

決してジルコニアフレームを過信して、薄くしてはならない。



すなわち

ジルコニアフレームは必ずサポート形態を設計するか、もしくはマルチレイヤーによるフルジルコニアが推奨できます。





是非、「モノリシックジルコニアとは?」のページをご参照ください。

ジルコニア用陶材「ヴィンテージZR」に関する基本情報はこちらから→ 松風社ホームページ

『歯科インプラント治療についての情報サイト』はこちらから→ 気になる医学@歯科インプラント

 




このカテゴリのトップへ  HOMEへ