このカテゴリのトップへ  HOMEへ



ガルバーノテクニックと ハイブリッドレジン「セラマージュ」の

コンビネーションによる咬合力の緩衝

「3i インプラント・システム」



● 「3i インプラント・システム(3i インプラントイノベーション社)」を応用し、
2°角(最も接着性の適合を得らる角度を与える)にメタルミリングを行う



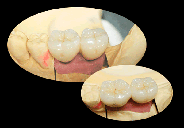
◎ 『セラマージュ』と『AGCガルバーノコーピング』によるインプラント上部構造


◎ITI-インプラント上に製作されたAGCガルバーノ・キャップ(写真上:提供;大信貿易)

 

 

★『セラマージュ』と『AGCガルバーノコーピング』によるインプラント上部構造の「利点」

 

 

●AGCガルバーノコーピング(99、98%ゴールド:WIELAD社/輸入元;大信貿易)と
 
ハイブリッドタイプレジン(セラマージュ:松風社)とのコンビネーション

 インプラント体は固体的埴立状態にも拘わらず、上部構造体のコンビネーションによる弾性によって
 車のショックアブソーバー様に咬合圧を緩和することが期待できます。


●「セラミックス」と違い、口腔内での修正が容易で、同一マテリアルでの補綴が可能となります。

●天然歯(対合歯)に優しい。

●価格的に安価です。

◎ITI-インプラント上に製作されたAGCガルバーノ・キャップ(写真上:提供;大信貿易)


 


★以上、「利点」のみを挙げましたが、実際、「セラミックス」と比較すると、
 あくまで「レジン・ベース」であるため長期的に『着色』は避けられない事実である。
 その際、長期水中着色試験でもっとも優位性を有する『セラマージュ』の選択は
 大きいと推察される。

 


 『歯科インプラント治療についての情報サイト』はこちらから→気になる医学@歯科インプラント
『視力減退などが気になる方のための情報サイト』はこちらへ→気になる医学@レーシック、視力回復


 


このカテゴリのトップへ  HOMEへ  Next