このカテゴリのトップへ  HOMEへ

 


前歯部インプラント:リカバリーに成功した前歯部単独歯欠損症例

〜3i インプラント・システムを用いた症例〜
 

 

●前歯部インプラントに関しては、骨の量、歯茎の厚みなどからインプラントの植立位置や機能と審美を兼ね備えることが非常に難しいものであった。

近年、適確な診断とその正しい治療計画によって、天然歯にも負けない審美性を備えた『人工による歯』の製作が可能となってきている。

その点においては「前ページ」でもご紹介しましたが、次の症例のように簡単にはいかないものも少なくありません。

 



 
1. 症例の概要:
 

 

●患者さんは以前、装着した接着ブリッジが脱離したため再び固定式の補綴治療を希望し来院される。

●診断用にワックスアップ(ワックスで仮に形態を作ってみること)を行うことによって分かること。

・右上中切歯のスペースと左上中切歯の歯冠幅径の不一致
・右上中切歯部歯槽堤の幅の不足
・中切歯の歯の軸が外に傾斜している




 

 

 
2. 治療計画:
 

●治療計画のオプションとして……

・欠損部スペースの改善をせず、反対側の歯牙よりも広い幅の歯冠を可及的に対称に製作する。
・隣在歯の歯冠形態を修正し、スペースを調整することにより上部構造の形態を理想的に近づける。

以上の2つが考えられるが患者さんとの協議の結果、「下」のプランで治療を進めることになった。


セラミックラミネートの装着
 

●歯槽骨の診査により、以下の事を行った(写真上)。

・ 右上中切歯に4.0×15.0mmOsseotite Implant(3i System)の埋入
・ 埋入と同時のGBR (骨再生療法)
・ 右上側切歯と左上中切歯にラミネートベニアの装着
・ プロセラアバットメント(セラミックアバットメント)の製作

●「Part 2」の診査において行われた歯肉縁下の形態修正の終了後、それを正確にラボサイドに伝達し、
プロビジョナルと同じ歯肉縁下形態の内冠を作製する必要がある。

そのためカスタムインプレションコーピングを作製しピックアップ印象を行い、
内冠と新しいプロビジョナルを作製した(写真左下)。


●アバットメントの選択:


・ プロビジョナルの歯肉縁下形態をアバットメントで再現
するため自由度が高いもの。

・増大した軟組織形態を維持しやすくするために、
生態親和性の高い材質であること。

・単独歯欠損であること、また咬合の状態から強度の
側方圧がかからないこと。

・長期的に歯肉形態が変化しても金属の露出を防ぐため
以上の理由でCAD/CAMによる酸化アルミナのプロセラ
アバットメントを選択した。




●歯間幅径を整えるため、右上側切歯と左上中切歯にラミネート
ベニアをセットする(尚、歯牙の切削は行っていない。)。

隣在歯の形態が決定した後、インプラントの外冠の作製に入る。
印象と作業模型作製は複歯型を作製する方法を採用した。

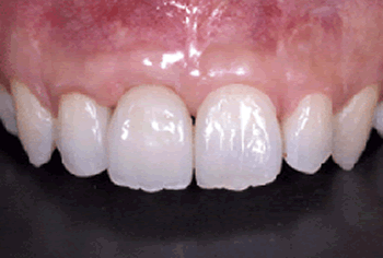
●チェアーサイドにてグレーズ試適を行い、今一度、歯頚ラインおよび軟硬組織と補綴物との調和を確認する。

この次点で、歯頚部の豊隆と切端部の不足が確認された。
近遠心歯間鼓形空隙はさらにデザインナイフを用いて削合し、
最終グレーズの際に前述の事項を修正、完成させた。



●本症例においてはアバットメントの着脱回数をコントロールすることよりも、形態を調整することを優先した。

現在もともと存在していた組織、あるいは再生した組織を可及的に保存するためにリモデリングという宿命から逃れるいくつかの術が試みられている。

アバットメント着脱回数のコントロールもそれに含まれる。

●しかし現実には、歯肉形態にこだわるとアバットメントの歯肉縁下形態は試適行いながら決定せざるをえない。

インプラントの位置と方向、周囲の骨、
軟組織の量を調整し、条件を整えるとともに、唇側へ過度に圧迫しないことを原則としてアバットメント形態に応じた軟組織の反応に対する見識を深め、可及的に着脱回数を減らすための試みも重要である。
 


 


●インプラント治療は失われた機能と審美性が高い次元で回復されるため、患者にとっては非常に価値が高く術者にとっても遣り甲斐がある治療である。

術前の状態が悪ければさらに喜びも大きい。

しかし、特に審美性の獲得においては予知性が必ずしも高いとは言えず、長期的な予後も確立されているとは言い難い。

本症例のように予期せぬ事態に陥ることがないとは限らない。

そのような時でも、各ステップにおいて再評価を行い、

●歯科医師、歯科技工士、歯科衛生士が連携し、 最善の方法を検討することによって解決を図ること

が肝要かと考える。

 



「QDT」別冊インプラント上部構造の現在PART4

―クラウン・ブリッジ・タイプを中心に― 『リカバリーに成功した前歯単独欠損症例』
石川知弘/望月一彦/高林寿美江/大畠一成』著:クインテッセンス出版株式会社 より引用。

 ★『症例担当、写真提供:静岡県浜松市の石川歯科医院 石川知弘先生/望月一彦先生

 
 『歯科インプラント治療についての情報サイト』はこちらから→気になる医学@歯科インプラント
『視力減退などが気になる方のための情報サイト』はこちらへ→気になる医学@レーシック、視力回復


このカテゴリのトップへ  HOMEへ   Next