このカテゴリのトップへ  HOMEへ

 


「歯の色」ってどうやって決めるの?

●『歯の色』って色々ですよね。
では、歯医者さんや技工士さんは
「どうやって」色を決めるのでしょうか?

●歯の色見本はいっぱいあります。でも、確実な「色の決め方」があるんです。

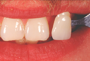
 左図は『間違った方法です』。

 どうしてでしょう?!

それをこれから解説していきます。

   

●『歯の色』を決めるためには、左のような『色見本』を使って、
直接、人の眼で『比色』する方法と
『コンピュータ制御
の測色器= Shade Eye NCC』があります。

●見本数は多くありますが、我々は慣れた一社(松風社)のみの一部の物だけで実際に、色を分析してます。

見本数は外国製品もあわせるとこの10倍以上になってしまいますので……


*筆者が使っている『歯の色見本』の一部、あくまでも一部です。
この中から、あなたに合う『色』を見つけなければなりません。
   

●『歯の色』を決めるためには、既述したように『色見本』を使って
 直接、人の眼で『比色』する方法があることを報告しました。

●ここで最重要な事項は『ヒトの眼の構造』を良く知ることです。
図左はヒトの眼ですが、これを縦割りにしたものが図右です。
ヒトの眼の「構造」は「カメラ」のそれと似ています。

●ヒトの眼に入った『光り(色)』は角膜、水晶体、硝子体をとおって「網膜」に伝わります。

カメラで言う「フィルム」です。

ここには二種類の「視細胞:錐状体と桿状体」が存在し、それぞれ「色覚と光覚」を司り、入って来た光を刺激として捉えます。

刺激に対して、これらの「視細胞:錐状体と桿状体」が化学反応をおこすのです。

その刺激によって生じた物質を物理的に伝達された情報が、視神経をとおって、脳の視中枢(視覚領)へ伝達され、カメラの写真と同様に、物が見える訳です。



★下図から分かるように、色を正確に見極めるためには、昔から言われている「グレーカード」や「無彩色の物」を見るとかではなく、

静かに眼を閉じて、光(=色)の刺激を受けない環境にしてやることが重要になってくるのです。

そこで……

光(=色)の刺激を受け分解してしまった物質をもう一度、もとの視覚物質に再合成させる必要があるわけです。


★我々が同様に「歯の色」を見る時、時間の経過とともに「眼」は「ニュートラル」な状態に戻り、もはや色を認識することは不可能な状態になっている訳です。

ゲーテは庭の「黄色いサフラン」を見つめていて、ふと地面に眼を落とすと、そこに数点の「紫の色」を見て、この黄色と紫色が「補色関係にある」ことを発見しました。


●ヒトの眼は光(=色)の刺激を受けた場合、それを「ニュートラル」な状態に戻そうとする作用を起こし、言い換えれば、「見た色の補色関係にある全く違った色」を取り込もうとするのです。

●これらの視細胞が光(=色)の刺激を受けた場合、どのような化学反応を起こすかを表したものが下の図です。


★「歯の色」はヒトの体調によっても変化します。僕は今、風邪ひいて、熱がありますから、自分の「歯の色」も微妙に変化しているし、ましてや、他の人の「歯の色」を分析することも難しいでしょうが……

●ヒトが物を見る際、ピントをあわせる点が
中心窩(図参照)と呼ばれる「くぼみ」であり、最近、はやりのレーシックもこの点にどう焦点を合わせるかが課題となっている。

●ヒトが「色」を見極める視細胞は
「錘状体」であり、この「中心窩」の2mmの範囲に160、000の細胞が2度角で集まっている(下図参照)。言い換えれば、ヒトは2度の角度の範囲内で比較的(体調さえ良ければ…)、正確な「色」を分析できるわけである。

これを専門的に「2度視野」と呼んでいる。

さて、ではこれを我々の「歯の色」を見分ける際に当てはめてみよう。

小さな歯を1m以上離れて見るヒトはいないだろうし、まず不可能なので、通常、30cmと言われている。

この30cmの距離にこの「2度視野」を考慮し、計算するとなんと約「1cm」の幅しかない。1cmと言えば「前歯一本分」にしか相当しないのである。


● このことから、歯の横に「色見本」を置いてしまえば、約2cmの幅になってしまいます。したがって、この方法が間違っていることが証明される訳です。

★正しい「歯の色」の見かた、またはその詳細は
こちらに”PDFファイル”で掲載しております。



坂 清子著:Q&A セラモメタル・サイエンス より


 『歯科インプラント治療についての情報サイト』はこちらから→気になる医学@歯科インプラント
『視力減退などが気になる方のための情報サイト』はこちらへ→気になる医学@レーシック、視力回復


このカテゴリのトップへ  HOMEへ  Next